Skip to content Skip to sidebar Skip to footer

Offene Kieferhöhle Nach Zahnextraktion

Munchen Offene Kieferhohle Nach Zahnextraktion Mav

Munchen Offene Kieferhohle Nach Zahnextraktion Mav

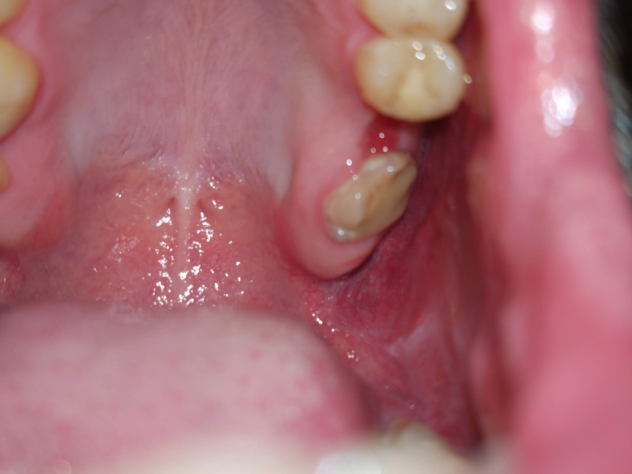
Offene kieferhöhle nach zahnextraktion. Wundheilungsstörung nach Zahnextraktion durch Entzündung des knöchernen Zahnfaches meistens in Verbindung mit neuralgiformen Schmerzen. Bei normalen Schleimhaut-Verhältnissen muss dann ausschließlich darauf geachtet werden dass keine Zahnteile Instrumentarien oder Wurzelfüllmaterialien in die Kieferhöhle luxiert werden. Welche Schäden in der Kieferhöhle können durch ein Zahnimplantat entstehen.

Was ziemlich nervig ist. Was ist nach der OP mit Auftritt einer MAV von mir zu beachten. Eine Antwort geben Eine Frage stellen Alle Foren anzeigen.

Dabei entsteht eine sogenannte Mund-Antrum-Verbindung. Vermeiden Sie bitte Niesen oder kräftiges Schnauben beim Naseputzen um erhöhten Innendruck der Kieferhöhle zu vermeiden. Bei mir wurd heut ein zahn gezogen die eine wurzel war wohl solang das sie bis in die kieferhöhle gereicht hat.

Wurde die Kieferhöhle bei einer Zahnextraktion oder anderen operativen Eingriffen eröffnet so muss im Hinblick auf das therapeutische Vorgehen durch eine Röntgenaufnahme der Nasennebenhöhlen abgeklärt werden ob eine gesunde oder pathologisch veränderte Kieferhöhle vorliegt. Sollte wider Erwarten nach einer Zahnextraktion in der Kieferhöhle eine Nachblutung auftreten so legen Sie einen Tupfer oder ein sauber geknotetes Taschentuch auf die Wunde und beißen so zu dass die Wunde komprimiert wird. Austretendes Sekret an der Nase nur abtupfen nicht Schnäuzen.

Neben der Kieferhöhleneröffnung im Rahmen von Extraktionen kann diese vor allem auch im Rahmen von Wurzelspitzenresektionen vorkommen. Welche Behandlung ist erforderlich wenn die Kieferhöhle zum Mund hin offen ist z. Nach der Extraktion eines verdächtigen Zahnes wird ein Nasenblastest durchgeführt.

Fliegen nach Zahnextraktion und evtl. Also es strömt jedenfalls von nase luft in den mund und umgekehrt. Da die Zahnwurzeln bis in die Kieferhöhle reichen können kann es bei Zahnextraktionen zudem zur Eröffnung der Kieferhöhle kommen welche dann plastisch vom Zahnarzt verschlossen werden muss damit keine Kieferhöhlenentzündung durch bakterielle Infektion entsteht.

Durch das Vernähen der Wunde schließt der Zahnarzt den offenen Kieferknochen und verringert die Wundoberfläche. Dies geschieht mittels Abtasten der Alveole mit einer Knopfsonde oder durch den Nasenblasversuch.

Munchen Offene Kieferhohle Nach Zahnextraktion Mav

Munchen Offene Kieferhohle Nach Zahnextraktion Mav

Munchen Offene Kieferhohle Nach Zahnextraktion Mav

Munchen Offene Kieferhohle Nach Zahnextraktion Mav

Mund Antrum Verbindung Wikipedia

Mund Antrum Verbindung Wikipedia

Munchen Offene Kieferhohle Nach Zahnextraktion Mav

Munchen Offene Kieferhohle Nach Zahnextraktion Mav

Munchen Offene Kieferhohle Nach Zahnextraktion Mav

Munchen Offene Kieferhohle Nach Zahnextraktion Mav

Munchen Offene Kieferhohle Nach Zahnextraktion Mav

Munchen Offene Kieferhohle Nach Zahnextraktion Mav

Munchen Offene Kieferhohle Nach Zahnextraktion Mav

Munchen Offene Kieferhohle Nach Zahnextraktion Mav

Akute Rhinosinusitis Als Folge Einer Chronischen Mund Antrum Verbindung Zm Online

Akute Rhinosinusitis Als Folge Einer Chronischen Mund Antrum Verbindung Zm Online

Nasenblasversuch Wikiwand

Nasenblasversuch Wikiwand

Akute Rhinosinusitis Als Folge Einer Chronischen Mund Antrum Verbindung Zm Online

Akute Rhinosinusitis Als Folge Einer Chronischen Mund Antrum Verbindung Zm Online

Https Www Sso Ch Fileadmin Upload Sso 2 Zahnaerzte 2 Sdj Smfz 1998 Smfz 12 1998 Smfz 98 12 Bildung2 Pdf

Https Www Sso Ch Fileadmin Upload Sso 2 Zahnaerzte 2 Sdj Smfz 1998 Smfz 12 1998 Smfz 98 12 Bildung2 Pdf

Kieferhohlenentzundung Zahnarzt Wien Ordinationen In 1100 Und 1010 Dr Fischer

Kieferhohlenentzundung Zahnarzt Wien Ordinationen In 1100 Und 1010 Dr Fischer

Munchen Offene Kieferhohle Nach Zahnextraktion Mav

Munchen Offene Kieferhohle Nach Zahnextraktion Mav

Fur Zahnarzte Kieferhohlen Sanierung Youtube

Fur Zahnarzte Kieferhohlen Sanierung Youtube

Verschluss Einer Persistierenden Mund Antrum Verbindung Zwp Online Das Nachrichtenportal Fur Die Dentalbranche

Verschluss Einer Persistierenden Mund Antrum Verbindung Zwp Online Das Nachrichtenportal Fur Die Dentalbranche

Akute Rhinosinusitis Als Folge Einer Chronischen Mund Antrum Verbindung Zm Online

Akute Rhinosinusitis Als Folge Einer Chronischen Mund Antrum Verbindung Zm Online

Munchen Offene Kieferhohle Nach Zahnextraktion Mav

Munchen Offene Kieferhohle Nach Zahnextraktion Mav

Extraktion Zahnmedizin Wikipedia

Extraktion Zahnmedizin Wikipedia

Membranen In Der Zahnarztlichen Chirurgie Und Der Kieferchirurgie Zwp Online Das Nachrichtenportal Fur Die Dentalbranche

Membranen In Der Zahnarztlichen Chirurgie Und Der Kieferchirurgie Zwp Online Das Nachrichtenportal Fur Die Dentalbranche

Alveolitis Sicca Ursachen Symptome Behandlung Medlexi De

Alveolitis Sicca Ursachen Symptome Behandlung Medlexi De

Weisheitszahn

Weisheitszahn

Ein In Die Kieferhohle Dislozierter Wurzelrest Zm Online

Ein In Die Kieferhohle Dislozierter Wurzelrest Zm Online

Kieferabszess Ursachen Symptome Behandlung

Kieferabszess Ursachen Symptome Behandlung

1

1

Entzundungen Der Kieferknochen

Entzundungen Der Kieferknochen

Verschluss Einer Persistierenden Mund Antrum Verbindung Zwp Online Das Nachrichtenportal Fur Die Dentalbranche

Verschluss Einer Persistierenden Mund Antrum Verbindung Zwp Online Das Nachrichtenportal Fur Die Dentalbranche

Membranen In Der Zahnarztlichen Chirurgie Und Der Kieferchirurgie Zwp Online Das Nachrichtenportal Fur Die Dentalbranche

Membranen In Der Zahnarztlichen Chirurgie Und Der Kieferchirurgie Zwp Online Das Nachrichtenportal Fur Die Dentalbranche

Zahnwunde Nach Einem Monat Normal Gesundheit Und Medizin Wundheilung Backenzahn

Zahnwunde Nach Einem Monat Normal Gesundheit Und Medizin Wundheilung Backenzahn

Weisheitszahn Extraktion Ohnmacht Gesundheit Angst Blut

Weisheitszahn Extraktion Ohnmacht Gesundheit Angst Blut

Therapie Bei Schmerzen Am Weisheitszahn Dr Schweikart Verlag

Therapie Bei Schmerzen Am Weisheitszahn Dr Schweikart Verlag

Verschluss Einer Persistierenden Mund Antrum Verbindung Zwp Online Das Nachrichtenportal Fur Die Dentalbranche

Verschluss Einer Persistierenden Mund Antrum Verbindung Zwp Online Das Nachrichtenportal Fur Die Dentalbranche

Extraktion Zahnmedizin Wikipedia

Extraktion Zahnmedizin Wikipedia

Munchen Offene Kieferhohle Nach Zahnextraktion Mav

Munchen Offene Kieferhohle Nach Zahnextraktion Mav

Sinuslift Implantat In Der Kieferhohle

Sinuslift Implantat In Der Kieferhohle

Reduktion Alveolarer Dimensionsveranderungen Nach Zahnextraktion Marktplatz Dimagazin Aktuell De

Reduktion Alveolarer Dimensionsveranderungen Nach Zahnextraktion Marktplatz Dimagazin Aktuell De

Entzundungen Der Kieferknochen

Entzundungen Der Kieferknochen

Https Www Sso Ch Fileadmin Upload Sso 2 Zahnaerzte 2 Sdj Smfz 1998 Smfz 12 1998 Smfz 98 12 Bildung2 Pdf

Https Www Sso Ch Fileadmin Upload Sso 2 Zahnaerzte 2 Sdj Smfz 1998 Smfz 12 1998 Smfz 98 12 Bildung2 Pdf

Zahnextraktion Zahne Ziehen Zahnarzt Dr Seidel

Zahnextraktion Zahne Ziehen Zahnarzt Dr Seidel

Https Www Swissdentaljournal Org Fileadmin Upload Sso 2 Zahnaerzte 2 Sdj Sdj 2015 Sdj 5 2015 Sdj 05 2015 Forschung Pdf

Https Www Swissdentaljournal Org Fileadmin Upload Sso 2 Zahnaerzte 2 Sdj Sdj 2015 Sdj 5 2015 Sdj 05 2015 Forschung Pdf

Akute Rhinosinusitis Als Folge Einer Chronischen Mund Antrum Verbindung Zm Online

Akute Rhinosinusitis Als Folge Einer Chronischen Mund Antrum Verbindung Zm Online

Https Hno Hamm De Wp Content Uploads 2018 04 Abrams Hno Zahn Neu Pdf

Https Hno Hamm De Wp Content Uploads 2018 04 Abrams Hno Zahn Neu Pdf

Https Online Medunigraz At Mug Online Wbabs Getdocument Pthesisnr 46844 Pautornr Porgnr 1

Https Online Medunigraz At Mug Online Wbabs Getdocument Pthesisnr 46844 Pautornr Porgnr 1

Sinuslift Implantat In Der Kieferhohle

Sinuslift Implantat In Der Kieferhohle

Zahnerhaltende Chirurgie Springerlink

Zahnerhaltende Chirurgie Springerlink

Https Www Zahnarzt Ruhmann De Sites Default Files Plastische Kieferhoehlendeckung Pdf

Https Www Zahnarzt Ruhmann De Sites Default Files Plastische Kieferhoehlendeckung Pdf

Odontogene Kieferhohlenerkrankungen Springerlink

Odontogene Kieferhohlenerkrankungen Springerlink

Zahn Extraktion

Zahn Extraktion

Membranen In Der Zahnarztlichen Chirurgie Und Der Kieferchirurgie Zwp Online Das Nachrichtenportal Fur Die Dentalbranche

Membranen In Der Zahnarztlichen Chirurgie Und Der Kieferchirurgie Zwp Online Das Nachrichtenportal Fur Die Dentalbranche

Https Encrypted Tbn0 Gstatic Com Images Q Tbn And9gctcpsta8inz7gz25josbu6sjpgwaftd5xdfolzywkrcb9nfditk Usqp Cau

Https Encrypted Tbn0 Gstatic Com Images Q Tbn And9gctcpsta8inz7gz25josbu6sjpgwaftd5xdfolzywkrcb9nfditk Usqp Cau

Fliegen nach Zahnextraktion und evtl.

Hallo wer hat erfahrung mit eröffneter kieferhöhle nach einer zahnextraktion. Also es strömt jedenfalls von nase luft in den mund und umgekehrt. Auch an eine ungewollte Eröffnung der Kieferhöhle durch den Arzt muss gedacht werden. In die Öffnung fließt Blut bildet sich zu einem Blutgerinnsel und innerhalb von drei Monaten zu einem Faserknochen. Nach Eröffnung einer gesunden Kieferhöhle besteht die Gefahr dass über die MAV durch aszendierende Infektion. Welche Hausmittel helfen bei einer Kieferhöhlenentzündung. Sollte wider Erwarten nach einer Zahnextraktion in der Kieferhöhle eine Nachblutung auftreten so legen Sie einen Tupfer oder ein sauber geknotetes Taschentuch auf die Wunde und beißen so zu dass die Wunde komprimiert wird. Der Patient bläst in seine Nase wie beim Schnäuzen hält sich dabei die Nase luftdicht zu. Vermeiden Sie bitte Niesen oder kräftiges Schnauben beim Naseputzen um erhöhten Innendruck der Kieferhöhle zu vermeiden.


Medikamente nach der Weisheitszahn OP. Bei mir wurd heut ein zahn gezogen die eine wurzel war wohl solang das sie bis in die kieferhöhle gereicht hat. Der arzt hat jetzt glaub ich nur die zahnwunde veräht. Bei normalen Schleimhaut-Verhältnissen muss dann ausschließlich darauf geachtet werden dass keine Zahnteile Instrumentarien oder Wurzelfüllmaterialien in die Kieferhöhle luxiert werden. Welche Schäden in der Kieferhöhle können durch ein Zahnimplantat entstehen. Medikamente nach der Weisheitszahn OP. Was versteht man genau unter Zahnextraktion.

Post a Comment for "Offene Kieferhöhle Nach Zahnextraktion"